4011 W McDowell Rd Phoenix, AZ 85009
Our Smile Stories
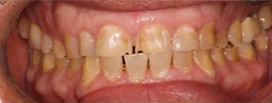
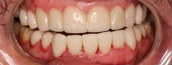
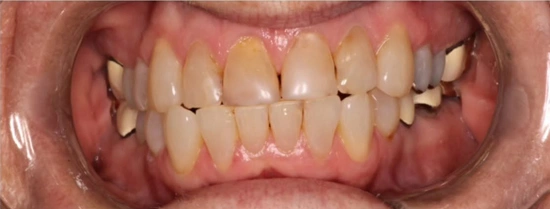
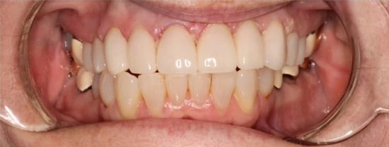
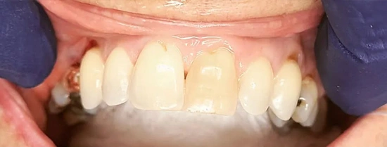
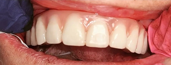
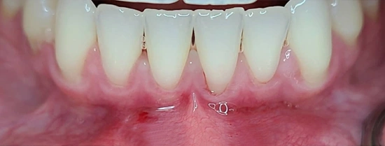
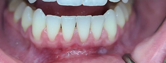
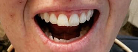
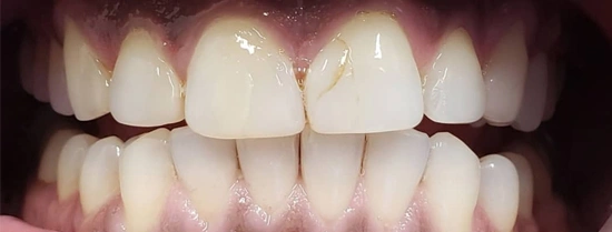
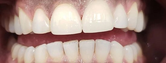
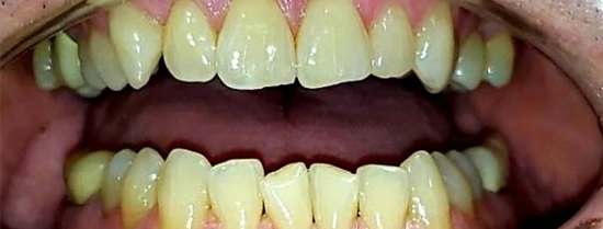
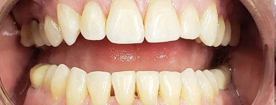
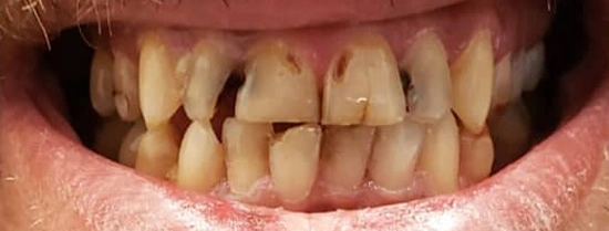
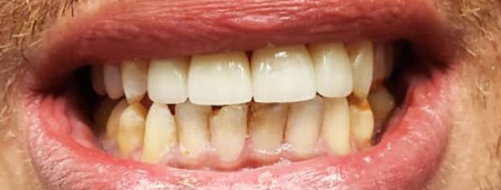
Want to see the amazing results we’ve achieved at Clear Sky Dental Care? Explore our smile gallery below to view real before-and-after photos of our satisfied patients. These images showcase the transformative power of our dental care and the beautiful, healthy smiles we’ve helped create.

Before

After

Before

After

Before

After

Before

After

Before

After

Before

After

Before

After

Before

After

Before

After

Before

After
